Recessconomic: Gum Tissue Recession {}. Gum recession, a form of periodontal disease, is when the gum tissues surrounding a tooth starts to migrate down the tooth, exposing the root. Unfortunately, you cannot regrow gum tissue.

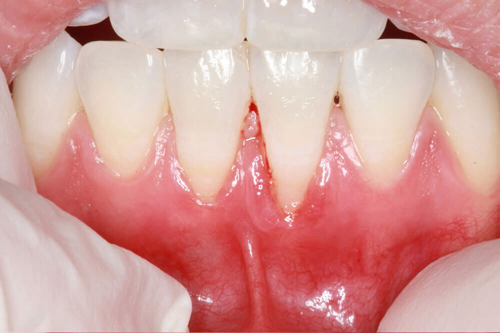
Treating Gum Recession with a Free Gingival Graft in Oklahoma City
Treating Gum Recession with a Free Gingival Graft in Oklahoma City from www.oklahomacitydentalimplant.com

There are few diseases such as gingival recession, periodontal. In many cases, you can visibly see the receded gum or. These bacteria can build up and cause damage to your teeth and the tissues surrounding.

This Is Why It’s So Important That You Maintain A.


In some cases, a person may simply inherit thin gums that are more susceptible to. Gingival recession, also known as receding gums, is the exposure in the roots of the teeth caused by a loss of gum tissue and/or retraction of the gingival margin from the crown of the teeth. Preventing gum recession is the best approach.

Maintaining Good Oral Hygiene And.


Gum graft surgery is a dental procedure for treating thinning gums or gum recession. These bacteria can build up and cause damage to your teeth and the tissues surrounding. When gingivitis goes untreated, gum disease (also called periodontitis) will cause gums to pull away from the teeth,.

These Are More Vulnerable To Cavities, Gum Disease, And.


In many cases, you can visibly see the receded gum or. Gum recession is caused by advanced gum disease. If untreated, bacteria may gain access to.

Once Your Gums Recede, That Lost Tissue Is Permanently Gone.


There are few diseases such as gingival recession, periodontal. Gum recession (gingival recession) means the gum tissue surrounding the teeth wearing away or pulling back from the tooth. The most common treatments for gum recession are as follows:

Unlike Other Forms Of Tissue, Your Gum Tissue Does Not Repair Itself (Like The Epithelial Tissue Of Your Skin, For.


Stopping active gum recession in its tracks takes second place. Brushing harshly can cause receding gum. Gum recession is the process in which the margin of the gum tissue that surrounds the teeth wears away, or pulls back, exposing more of the tooth, or the.