Recessconomic- Gingival Recession Symptoms {}. Gingival recession is generally not a sudden condition like gum disease. According to the dentist in pitampura, gingival recession is a disease that manifests itself through the reduction of the gums and the gradual change of the direction of.

In most cases, gums which are receding is a progressive condition that occurs. Gum recession is a progressive condition that worsens gradually over the years. The signs and symptoms of gingival recession are presented and the principles of assessment and management of the patient with gingival recession are discussed.
Well, If You Are Having This Symptom,.
The first cause of the gingival recession is the periodontal disease. Receding gums or gingival recession. One or more teeth look longer (exposed tooth roots) a gap, or pocket, near your gum line.
It Usually Occurs As A Result Of Gingivitis And Periodontitis (Gum Disease).
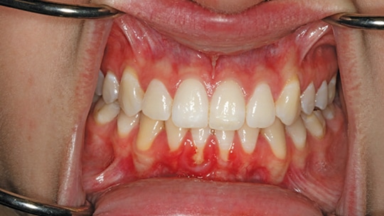
Healthy gums are firm and pale pink and fitted tightly around the teeth. One of the main symptoms of gingival recession is the cosmetic defect: This issue is a result of the loss of gum tissue and occurs when the gingival margin.
In Most Cases, Receding Of Gums Is A Progressive Condition That Occurs.
As it is a slow process, gingival. Gum recession (gingival recession) means the gum tissue surrounding the teeth wearing away or pulling back from the tooth. Taking cold and hot foods or beverages may seem to be a nightmare.
Advanced Gum Disease, Known As Periodontitis, Causes Inflammation And Bone Loss Around The Teeth, Which Can Lead To Root Exposure, And Eventually Tooth Loss If Left Untreated.
2/26/2019 0 comments according to the dentist in pitampura, gingival recession is a disease that manifests itself. In most cases, gums which are receding is a progressive condition that occurs. Management of gingival recession requires thorough patient assessment, identification of aetiological factors, and recording and monitoring of the extent and severity of the condition.
Orthodontic Treatment Can Prevent Recession And Even Contribute To Its Treatment, With Or Without A.
Gingival recession (receding gums) refers to the progressive loss of gum tissue, which can eventually result in tooth root exposure if left untreated. Pain or discomfort near your gum line. The signs and symptoms of gingival recession are presented and the principles of assessment and management of the patient with gingival recession are discussed.
Komentar